放射線技術科
透視装置利用検査
DR撮影装置
透視装置とは

放射線を用いて透視を行うことができる装置です。 造影剤を用いることで、臓器の形態や動き・流れな どをリアルタイムに観察することも可能です。
当院はDR(デジタルラジオグラフィ)のX線透視装置を配備しており、撮影像を診察室で電子カルテを利用し、診断することも可能です。
特 徴

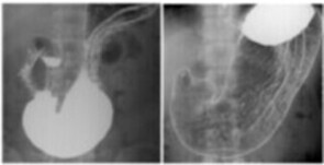
バリウムを飲んで行う胃透視の健康診断や、大腸の検査、脊髄の造影検査なども行います。他には骨折の整復術や、内視鏡を併用してステントと呼ばれる管を消化管に留置する高度な処置にも対応しています。
多目的の装置を利用して、狭くなった人工透析用のシャント血管を、医療用の風船を用いて内側から修復する血管内治療も行われています。
検査・治療を受けられる方への注意事項
観察する範囲に金具や固いものがあると、画像上妨げになる場合があります。必要に応じて病衣への着替えをお願いする場合があります。また、前処置として注射を利用する場合もあります。事前に説明や問診を行いますのでご協力を願います。
※これら以外にも、行われる手技や内容によって異なりますので、担当者の指示に従ってください。
造影検査を受けられる方へ
バリウムのように飲みこむ造影剤や、血管や脊髄腔に注射する造影剤など目的は様々です。
より有用な診断画像や治療効果を得ることがありますが、ごくまれに副作用が見られる場合があり注意が必要です。以下の項目に該当される方は、事前にお申し出ください。
- CT・MRIの造影剤により具合が悪くなったことがある方
- 腎機能障害・ぜんそくを患っている、または患ったことのある方
- 食べ物や薬剤アレルギーのある方
- 妊娠している方、またはその可能性のある方
検査・処置の紹介
-
胃バリウム検査
-
シャント概要図+前+後